『ママとこどものはいしゃさん』とは、
安心安全をモットーにした全国的に展開している
歯科医院グループです。
-
「ママとこどものはいしゃさん」は、「予防」「審美」「小児矯正」の3つの診療を通じて、ママとこどものお口の健康をつくる歯科医院です。
「健康的で美しい口元を手に入れたい」「子どもが世界で活躍できるよう、将来を見据えて歯並びを美しくしたい」など、気軽にご相談ください。
大切なご家族全員が笑顔で過ごせるよう、地域の皆様の健康づくりに貢献いたします。 -
「ママとこどものはいしゃさん®」って?
診療案内
痛みの少ないやさしい小児歯科

-
特徴1
しっかりと説明をしてから治療に入ります。大人でもいきなり治療をされたら怖いですよね?子どもなら尚更です。
「今から何をするのか」「何のためにするのか?」しっかりとお話しながら、ママはもちろん子どもにも理解してもらってから施術をおこないます

-
特徴2
むし歯にならない
「予防歯科」に力を入れています。「一生、歯のことで困らない人生を歩んで欲しい」
そのために、当院では「予防歯科」に力を入れています。ご自宅でのケアと合わせて、医院でのメインテナンスをおこなうことで、むし歯のリスクは格段に下がるのです。治療ではなく予防で通う歯科医院です。

-
特徴3
まずは慣れることも大切です。
将来まで考えた治療を提案します。お子さまの歯の場合、「むし歯=削る」という選択肢だけではありません。
まずは、むし歯になった原因をしっかりと把握して、再発をしないことが重要だと考えています。
ママと一緒にお子さまの将来まで考えて、お口の健康を守っていきます。
子どもの歯並び治療
小児矯正
歯並びの悪くなる原因を根本から改善する”予防矯正”
新しい小児矯正システム「マイオブレース(Myobrace)」

-
ママとこどものはいしゃさん可児院では、マイオブレースという早期予防矯正治療を取り入れています。
マイオブレースとは、悪い歯並びの根本的原因の改善を目的とした小児矯正装置です。
治療に最適な年齢は4~12歳で、取り外し可能な矯正装置を夜寝るときに装着します。
ほとんどの場合、抜歯やブラケット矯正を行わずに自然な成長と発達を実現します。
シリコン素材の取り外し式矯正装置で、お子さまの発育にとって重要な口腔機能の正しい成長を促していきます。
小児矯正「マイオブレース(Myobrace)」のメリット
-

顎とお口の正しい発育を促します
歯だけでなく、あごの成長に合わせて正しい口腔機能の発育をサポートします。
あごの成長は脳の働きを活性化したり、発音や滑舌の改善にも効果的です。 -

夜寝るときだけだから
生活に支障が出にくい学校では装置が目立つから嫌だ!矯正器具をつけると食事が心配。という声も多く聞きますが、マイオブレースは主に夜寝るときにつけるので生活への支障が少ないのも特徴です。
-

ほとんど歯を抜きません!
痛みも少ない非抜歯矯正治療あごの成長を促すので、歯がキレイに並ぶスペースを確保し、大切なお子さまの歯をなるべく抜かない矯正手法です。
治療の流れ
通院の頻度や、調整の時間も短いから、ママもこどもも負担が少ない
- 01
- まずは相談にお越しください。
(ご予約時に子供の歯並び相談とお伝えください)
- 02
- 医院にてお子さまのお口の状態を確認し、矯正が必要かどうか?治療の詳細のご説明をいたします。
- 03
- 型取りをして装置をつくります
- 04
- 矯正治療開始:ご自宅で装置を着けて頂きます。
(装置の着け方や注意点などご説明します)
- 05
- 1~3ヶ月に1度の調整にお越しください。
診療・矯正費用について
| 初診料・検査料 | 保険適用 |
|---|---|
| 小児矯正相談 | 0円 |
| 小児矯正 (マイオブレース・システム) |
550,000円(税込) |
※お支払いはクレジットカードや分割払いもお選び頂けます。

ご挨拶
お子さまの歯医者デビュー・歯並び矯正はお任せください
当院では、お子さまの大切な歯を守ることを1番大切にしています。
そのためには、「なるべく早くに歯医者に通って欲しい」と思いがあります。
むし歯になってから治療に通うのではなく、予防と正しい発育のために定期的に通院してもらう。
怖い・痛い歯医者ではなく、楽しく明るい歯医者でありたいと考えています。
「ママとこどものはいしゃさん」として、親子が安心して通えるよう滅菌対策にも力を入れておりますので、お子さまのお口や歯並びで気になることがありましたら、お気軽にご相談ください。
ママとこどものはいしゃさん可児院
医療法人社団あいD.C あいデンタルクリニック
理事長糟谷 賢司
~ママの美と健康も支えています~
ぜひお子様と一緒にご来院ください
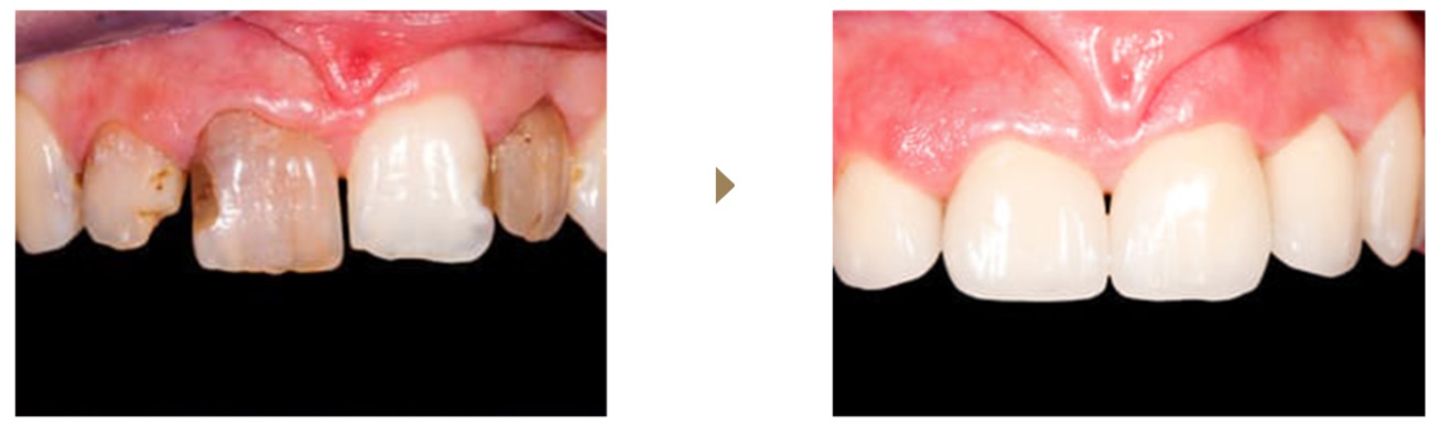
審美歯科治療
ダイレクトコンポジットレジン
ご自身の歯をほとんど削らずにできる審美治療に力を入れ、ダイレクトコンポジットレジンを積極的に取り入れております。

- 従来のセラミックよりも歯を削らない
- セラミックの被せ物よりも安く治療できる
- 自然な色調を再現できる
-
ACCESS
-
Adress 〒509-203
岐阜県可児市下恵土4205-1Tel 0574-61-4181 交通アクセス 小名鉄広見線 日本ライン今渡駅から徒歩12分
JR 可児駅から徒歩15分駐車場 完備 診療時間 月・火・水・金曜 9:00~12:30 / 14:00~18:00
土曜午後は~17:00
【休診日】木曜日、日曜日・祝日オフィシャル https://i-dental-kani.com






